top of page
Key Benefits of Cosmetic Teeth Whitening
✓ Immediate Results
✓ Long-Lasting
✓ Safe and Effective
✓ Boosted Confidence
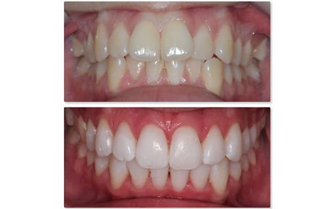
Cosmetic Teeth Whitening Results
PureSmile LED vs Home Kit LED
1
Consultation
2
Preparation
Our journey begins with a thorough consultation. We assess your oral health, discuss your goals, and determine the best whitening approach for you.
Your gums and lips are protected to ensure comfort and safety during the procedure.
3
Match Your Tone
4
Results
We apply a high-quality whitening gel to your teeth and activate it with a special light to enhance the whitening effect.
In just one session, you’ll see a noticeable difference. For some, additional sessions may be recommended for the best results.
Common Cosmetic Teeth Whitening Questions
Widget Didn’t Load
Check your internet and refresh this page.
If that doesn’t work, contact us.
bottom of page








